Advanced Treatments & Technologies

Sanbo Brain Hospital Case Review: Breaking the Ceiling for Multi-Drug Resistant Recurrent PCNSL

Sanbo Brain Hospital Case Review: Breaking the ...

Sanbo Brain Hospital presents a case of a 46-year-old PCNSL patient who relapsed after 25 treatment cycles. Facing multi-drug resistance, our expert team utilized a triple-combination: HD-MTX + Temozolomide +...

Sanbo Brain Hospital Case Review: Breaking the ...

Sanbo Brain Hospital presents a case of a 46-year-old PCNSL patient who relapsed after 25 treatment cycles. Facing multi-drug resistance, our expert team utilized a triple-combination: HD-MTX + Temozolomide +...

PKU 3rd Hospital: Minimally Invasive Total Resection of Pediatric Orbital & Deep Facial Teratoma

PKU 3rd Hospital: Minimally Invasive Total Rese...

[PKU 3rd Hospital MDT Saves 2-Year-Old with Massive Orbital Tumor] Facing a giant teratoma invading deep facial spaces and adhering to major arteries, experts at Peking University Third Hospital performed...

PKU 3rd Hospital: Minimally Invasive Total Rese...

[PKU 3rd Hospital MDT Saves 2-Year-Old with Massive Orbital Tumor] Facing a giant teratoma invading deep facial spaces and adhering to major arteries, experts at Peking University Third Hospital performed...

5-Year Milestone: PKU First Hospital’s World-First "Block-and-Drain" Tech Defies Vascular Limits

5-Year Milestone: PKU First Hospital’s World-Fi...

This article provides an in-depth analysis of a milestone case from PKU First Hospital: the world's first "Portal-end Embolization combined with TIPSS" procedure performed in 2021. Facing an extreme hepatic...

5-Year Milestone: PKU First Hospital’s World-Fi...

This article provides an in-depth analysis of a milestone case from PKU First Hospital: the world's first "Portal-end Embolization combined with TIPSS" procedure performed in 2021. Facing an extreme hepatic...

PUMCH Extraction of a 10cm Hooked Foreign Body in the Cervical Canal

PUMCH Extraction of a 10cm Hooked Foreign Body ...

This article reviews a high-complexity surgical case managed by the Multi-Disciplinary Team (MDT) at PUMCH. Facing a 10cm hooked metallic object impaled in the upper cervical canal of a 12-year-old—dangerously...

PUMCH Extraction of a 10cm Hooked Foreign Body ...

This article reviews a high-complexity surgical case managed by the Multi-Disciplinary Team (MDT) at PUMCH. Facing a 10cm hooked metallic object impaled in the upper cervical canal of a 12-year-old—dangerously...

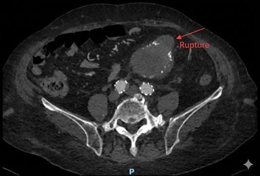
The 120mm Aneurysm Challenge: How Beijing Fuwai Hospital Expert Team Defused a Secondary Rupture Crisis in an 85-Year-Old Patient.

The 120mm Aneurysm Challenge: How Beijing Fuwai...

Faced with an 85-year-old patient, a massive 120mm AAA, and secondary rupture, the Beijing Fuwai Hospital expert team achieved a life-saving breakthrough. This article dissects the surgical decision-making logic between...

The 120mm Aneurysm Challenge: How Beijing Fuwai...

Faced with an 85-year-old patient, a massive 120mm AAA, and secondary rupture, the Beijing Fuwai Hospital expert team achieved a life-saving breakthrough. This article dissects the surgical decision-making logic between...

Fuwai Hospital (Beijing) Expert Team in Nature: In-vivo 3D Printing Tackles AFib Stroke Challenges

Fuwai Hospital (Beijing) Expert Team in Nature:...

The expert team from Fuwai Hospital (Beijing), led by Prof. Pan Xiangbin, in collaboration with the CAS, has published a groundbreaking study in Nature on "In-vivo Ferrofluid Cardiac 3D Printing."...

Fuwai Hospital (Beijing) Expert Team in Nature:...

The expert team from Fuwai Hospital (Beijing), led by Prof. Pan Xiangbin, in collaboration with the CAS, has published a groundbreaking study in Nature on "In-vivo Ferrofluid Cardiac 3D Printing."...